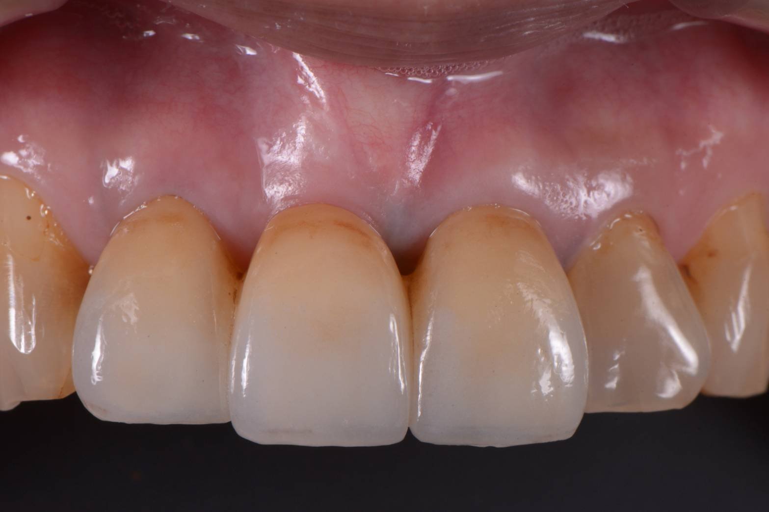
さて、どこの歯が欠損しているでしょうか??
答えは↓
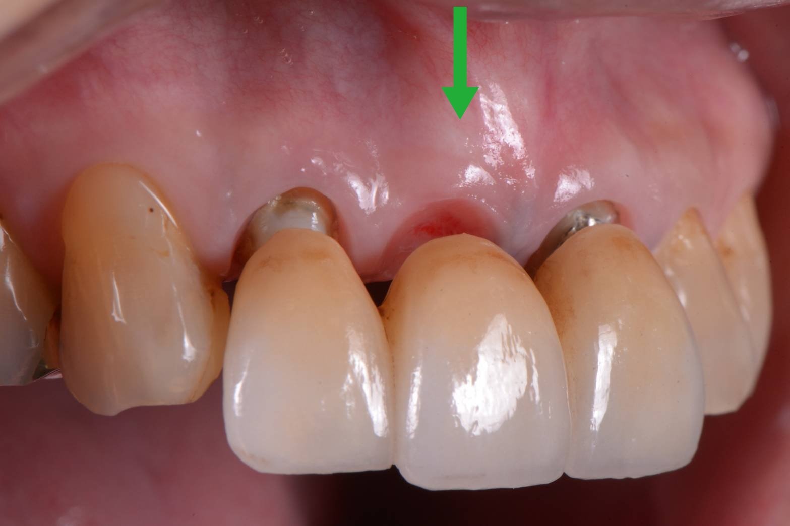
この緑の矢印の歯でした。
このように歯があるように見せるためのセラミックの形態をオペイドポンティックと呼びます。
オベイドとは卵円型という意味で、歯肉の形態もそのような形になっています。

歯肉にセラミックを押し込むため、異物反応が出ないジルコニアやセラミックが用いられてます。これをチタン以外の金属でやると腫れて膿んできます(>_<)
さらにこのオベイドポンティックを造るためには、歯肉の移植も必要なのです。↓の写真

審美治療は奥が深い!!
本当に遣り甲斐のある分野です。