阪急梅田から20分 牧落駅・東口すぐ
駐車場12台完備

箕面市の寺嶋歯科医院 Tel.072-721-2562

受付時間 09:30~13:30 / 14:30~18:15
休診日日曜、祝日

News information お知らせ

お知らせ お知らせ

2022/01/02オールオン6の症例

オールオンシックス オールオン6 ALL ON 6 の症例

43歳 女性

主訴:奥歯の部分入歯をやめたい。前歯がボロボロで治したい

治療期間:4か月

治療費:3,322,000円

_DSC8934.JPG

治療前の状態:奥歯に部分入歯を入れていて、前歯も欠けてきています。

_DSC8937.JPG

全体の写真。どの歯も歯周病で残せないという診断がつきました。

歯が無い時期があっては困るとのことで、「抜歯即時インプラント&即時仮歯」を行うことに。

DSC_8244.JPG 最終のブリッジのシミュレーション
寺嶋歯科医院 末松久美子様①.JPG CTからのデジタルシミュレーション
DSC_8245.JPG

サージカルガイド(手術支援装置)
DSC_8270.JPG サージカルガイドを口腔内に装着したところ(穴に沿ってインプラントを埋入するだけ)
DSC_8271.JPG 手術終了当日(当日に仮歯が入るため歯が無い時期がありません。従来は1週間歯を入れることができませんでした。しかもその後は総入れ歯を2か月使用していました。)
翌日.JPG 翌日(腫れも痛みもありません)
DSC_9612.JPG 2か月後 歯肉が綺麗に治癒した状態

DSC_2229.JPG 最終ブリッジを製作しました(技工:デンタルバイオビジョン 辻貴弘氏 日本有数のインプラント専門技工士)

6本のインプラントで12本の歯を支えております。

ALL ON 6の名前の由来はここにあります。

DSC_9952.JPG 歯肉との調和も完璧です

DSC_9832.JPG オールジルコニアで製作されており、スクリューで固定しているので、何かあった時は簡単に外せます。将来不潔になった場合は一旦全部外して清掃可能です。
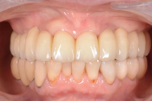
DSC_8267.JPG 術前写真
DSC_9952.JPG 術後写真

DSC_0448.JPG

4年経過時の写真(2025年2月)

上顎はすばらしく安定している。下顎の前歯に初期の虫歯が発生しています(・・;)

© Terashima Dental Clinic