阪急梅田から20分 牧落駅・東口すぐ
駐車場12台完備

箕面市の寺嶋歯科医院 Tel.072-721-2562

受付時間 09:30~13:30 / 14:30~18:15
休診日日曜、祝日

News information お知らせ

お知らせ お知らせ

2025/03/11抜歯即時インプラント埋入や大きな歯根嚢胞を摘出した全顎症例

大阪府箕面市の寺嶋歯科医院の理事長の寺嶋宏曜です。

今日は上下に合計6本のインプラントを埋入し、古い金属も全て白くした症例をご紹介致します。

スライド8.PNG

まずはビフォーアフターをご覧ください。

この症例は年間350本(累計3000本)の当院の実績の中の一つの臨床例です。

当然のことですが、結果は患者様によって異なります。

スライド1.PNG

初診時の写真は↑です。54歳女性。

スライド2.PNG

お若い頃から歯では悩まされていたとのことです。全体的な治療をご希望され、90分かけて奈良県から来院されました。

クラウンなどのやり替えも行っていますが、今回はオペだけに焦点を当て、治療内容を説明します。

スライド3.PNG

上下左右にインプラントを埋入しました。抜歯即時インプラント埋入や即時荷重(その日のうちに仮歯を入れて噛めるようにする治療)を駆使しています。

スライド4.PNG

スライド5.PNG前歯部の大きな歯根嚢胞の摘出も非常に経過良好です。

DSC_2045.JPG

↑摘出した嚢胞

私は歯周病やインプラントの専門医ですが、このような嚢胞摘出や歯根端切除などの口腔外科(マイクロサージェリー)も好きで、とてもやりがいを感じております。

スライド6.PNG

スライド7.PNG

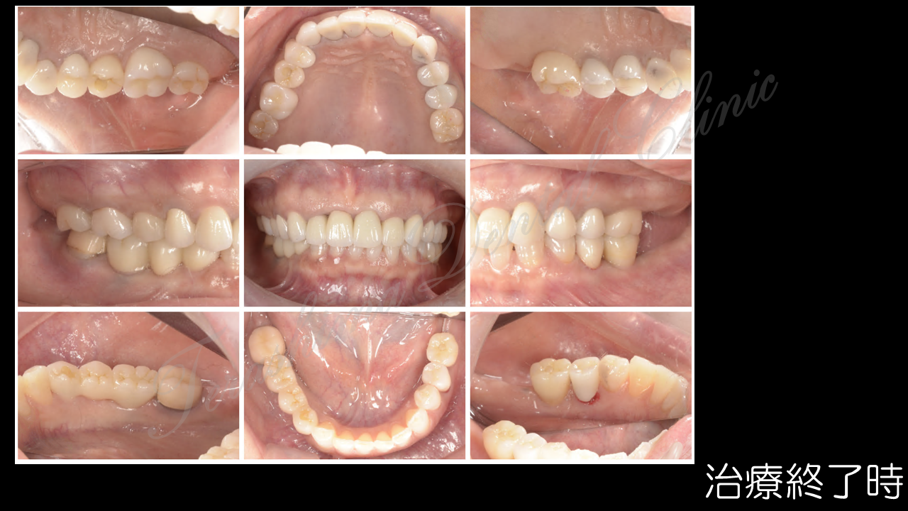
初診時から12か月後に、全ての治療が終わりました。

インプラント埋入は全てフリーハンドで行っていますが、素晴らしいポジションに入っています。(←自分で褒めてしまう)

スライド9.PNG

↑ビフォアーアフター。

月2回の来院で12カ月で終了。遠方の方でしたが、無駄がないようにアポイントを調整しながら行ったため、負担は少なかったと仰って頂けました。

どんどん噛めるようになられて、私と信頼関係が構築できていくことが感じることができ、歯科医師としてとても嬉しいものです。

やっぱり治っていることが実感できて初めて信頼関係はできるものですね。それを感じさせてあげるのもプロとして必要な技術です。

とても嬉しいアンケート結果はこちら!!

IMG_20250313113956.jpg

出会えて良かったと思って頂けるように、これからも魂込めて治療させて頂きます。

<症例のまとめ>

本症例の治療費:約420万円 ( 税込み、全てのセラミックのやり替え費用、インプラント治療費、静脈内鎮静費用など全ての自費治療費のトータル)

金額は非常に高額ですが、食べる楽しみがよみがえり、人生が明るくなったと仰って頂けるので、私も担当医としてそれに携われることのが本当に幸せです。

今回のK様は、人生が変わったと仰って頂けて、嬉しい限りです。

<リスク>術後の腫れと痛み

まずはご相談下さい。

文責 寺嶋宏曜

© Terashima Dental Clinic